欢迎访问佳音听力网! 主要为您提供苏州助听器,吴江助听器,苏州优利康助听器,苏州峰力助听器,苏州瑞声达助听器
::苏州助听器网::

2019年“爱耳日”...
2018年迎中秋、国...
2018年暑期助听器...
2018年爱耳日助听...
2018年优利康助听...
峰力助听器爱耳日活动
峰力新品隆重上市
2017年迎国庆、中...
2017年爱耳日助听...
2016迎新年情暖冬...
瑞士峰力助听器
丹麦瑞声达助听器
瑞士峰力FM无限调频
苏州店
  地址:司前街110号
  电话:0512-65340927
绍兴店
  地址:绍兴市中心北路481号
  电话:0575-88026327
 






 
  您现在的位置:首页 >>详细说明
 
 
苏州助听器——对于前庭导水管扩大,你了解多少?
 
发布时间:2012/10/31  访问人数:566
 
对于前庭导水管扩大,你了解多少?
 
     在验配师日常工作中经常会碰到有前庭导水管扩大症的孩子,表现为孩子的听力突然下降或时好时坏的波动,为此家长和我们的验配师都感到很困惑,特别是家长很着急,因为有些医生说他们的孩子一定会全聋,必须马上做人工耳蜗,大家都知道这个手术毕竟是个创伤,而且价格昂贵,不是每个家庭都能承受的。所以,现在我们来认识一下前庭导水管扩大症是怎么回事。

     随着现代科学技术的发展,诊断水平的提高,许多新疾病被发现。前庭导水管综合症(LVAS)就是在70年代末随着CT的问世蔡被发现的一种新的致聋疾病,主要表现为右耳波动性感音神经性聋和眩晕。1978年被正式命名为LVAS,市一中先天性遗传性疾病,一般认为是常染色体隐性遗传,或个体基因突变所致。除前庭导水管扩大不合并其他内耳畸形。 
      感觉声音的主要结构—内耳是由骨迷路和膜迷路组成,膜迷路内有内淋巴液,内淋巴液的正常代谢对维持正常的听力是至关重要的。前庭导水管将膜迷路与内淋巴囊相连,而正常大小的导水管是维持内淋巴液代谢所必需的。由于先天发育异常导致前庭导水管扩大时,内淋巴液可经过扩大的前庭导水管从内淋巴囊倒流于耳蜗或前庭,损伤感觉毛细胞出现聋或眩晕。在耳部CT或MRI影像检查中存在前庭导水管扩大症者占1%;患儿一般情况下出生时听力一般接近正常,躲在3-4岁时发病;感冒和外伤也常常是发病的诱因,及时轻微的外伤也可以引起重度感音神经性聋和眩晕。采用神经营养剂治疗,有一定效果,部分患儿的听力可恢复到原有水平,但仍较正常儿童厅里查,听力容易波动,目前尚无特效的治疗方法。

      早期发现采取防范措施可延缓病情发展。随着新生儿听力筛查技术的推广和实行,越来越多的孩子在很小的时候就能发现听力有问题,这是医生还会让孩子做颞骨CT扫描检查,就是为了发现孩子的内耳是否有畸形,中耳或乳突是否有积液,前庭导水管是否有扩大等病变,以便及时治疗和预防。如果孩子仅仅是前庭导水管扩大而无其他病变,为了防止孩子进一步听力下降,就需要预防:防止头部磕碰,尽量少感冒,增强体质。在听力发生波动时,最好抓紧时间进行治疗绝大多数还是有效果的。
 

      因为听力损失会严重影响到孩子的语言发展,所以,根据听力损失程度,听力专家通常会推荐配不同功率的助听器,进行听觉和言语训练,这样才能让孩子和其他孩子一样。对于轻度和中度听力损失儿童,无论医生还是听力专家意见基本一致,只需要配戴助听器就可以了,完全能满足孩子学习语言的需要。但是对于重度和极重度的听力损失儿童,医生和听力专家的意见有一些分歧,大部分医生认为只有做人工耳蜗植入手术,才能让他们学会说话,配戴助听器不可能有效果;但是听力专家认为对于有残余听力的孩子,大部分使用助听器的效果还是可以的。因为大量的实例证明这一点。


      作为听力工作者,从事该工作已经十几年,,为数百位孩子选配过助听器,大多数重度甚至极重度听力损失的儿童配戴助听器均有一定的效果,只是你的期望值问题。例如:一个极重度听力损失的孩子,配戴助听器后对语言的理解力和口齿清晰度于一个中重度听力损失的孩子配戴助听器的效果肯定会有一定的不同。但只要他们发现早(6个月之内),早配戴助听(到专业的助听器选配机构,并有有丰富为儿童选配经验的人调试助听器)。早语训(选择一个语训方法科学的语训学校,同时做好家庭康复工作),效果也是很好的。少数配戴助听器无效的人,也应当积极进行人工耳蜗植入手术。

      国内外许多听力学家同样建议在做耳蜗植入手术之前应当先配戴助听器!这是因为人工耳蜗的价格昂贵,术后的后续费用也非常大,这是我们家长需要考虑的。另外,手术存在各种风险,也是家长需要清楚的,例如开机后听不到任何声音、孩子从心理上不能接受等等。

术前配戴助听器基本上有3个理由
1 对听觉通路的培建,有利于术后的听觉言语训练
2 习惯人工耳蜗的装置
3 配戴助听器的听力评估能够反映助听器的实际效果,也可以评估孩子的听力   

      现在越来越多的孩子被发现有前庭导水管扩大症,因为听力有下降的趋势,所以一些医生建议做人工耳蜗植入手术。但如果您的孩子听力损失在60-70分贝之间(配戴助听器效果非常好),您会选择做手术吗?那么家长问:以后听力完全丧失了怎么办?当然到时候再说!因为又不是所有的前庭问题的孩子听力一定下降,有的不下降,有的听力有波动,不过经过治疗大部分还是能够回到原来的听力水平的。每个孩子的具体听力情况都不一样,我们只能具体问题具体分析。永远要选择一个对孩子最好的方法,让他们从心理和生理上同样健康的发展!

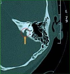
附前庭CT图、

网站首页 | 公司简介 | 苏州助听器 | 苏州助听器店 | 苏州优利康助听器 | 苏州峰力助听器 | 苏州奥迪康助听器 | 最新动态 | 联系我们
地址:苏州市司前街110号 电话:0512—65340927 苏ICP备18031523号